





術前CT分析結果顯示,瓣環大小為47.6mm,血管無明顯迂曲和鈣化。由于患者三尖瓣解剖結構復雜,二尖瓣位人工瓣膜造成的超聲偽影和ICD導線的干擾使得歐洲沒有其他合適的商業化和臨床試驗的產品可以對其進行治療。經過Rodrigo Estévez-Loureiro教授團隊的詳盡術前評估,認為LuX-Valve Plus經導管三尖瓣置換系統可以對該患者進行有效的治療。因此,Rodrigo Estévez-Loureiro教授團隊最終決定使用這一中國創新器械為患者進行手術。法國波爾多大學附屬醫院的Thomas Modine教授與加拿大圣保羅醫院的Anson Cheung教授參與指導。

術前3D打印模型
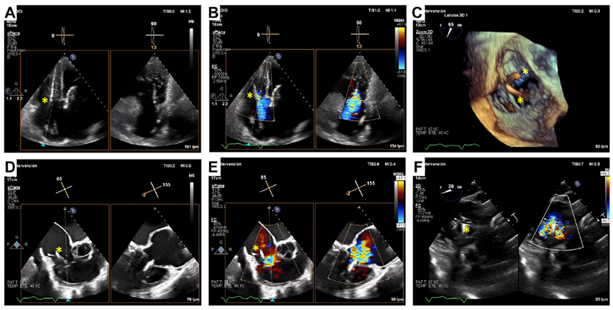
基線經胸和經食道超聲

術中DSA影像

術后經食道超聲,僅微量瓣周漏
起搏器/ICD導線引起的TR是三尖瓣反流的主要機制,這也是三尖瓣介入治療面臨的極大挑戰。既往臨床實踐已證實LuX-Valve系列產品在高危三尖瓣反流患者中的安全性和有效性,并且術后并發癥發生率低。LuX-Valve系列產品瓣膜應用室間隔“錨定區域”作為特殊的錨定機制,保證了瓣膜的穩定性。同時,多種尺寸的、較大的自適應防漏環可有效避免瓣周漏的發生,所以對于術前有起搏器/ICD植入史的患者,LuX-Valve系列產品可以最大程度減少由導線引起的三尖瓣殘余反流。本文報道的病例有兩根導線,其中一根材質較厚,位置在瓣膜的中心,手術的結果依然很完美。尤其是,LuX-Valve系列產品經導管三尖瓣置換系統的調整和釋放是在緩慢而完全受控的情況下進行的,術者可精確定位和控制導線的位置。隨訪期間,LuX-Valve Plus瓣膜沒有出現衰敗或血栓的現象,患者生活質量也大為改善。
文章來源:
JACC: CASE REPORTS
VOL. 15, 2023
https://www.sciencedirect.com/science/article/pii/S2666084923001407?via%3Dihub#mmc1
作者:Rodrigo Estevez-Loureiro, MD, PD and Co.